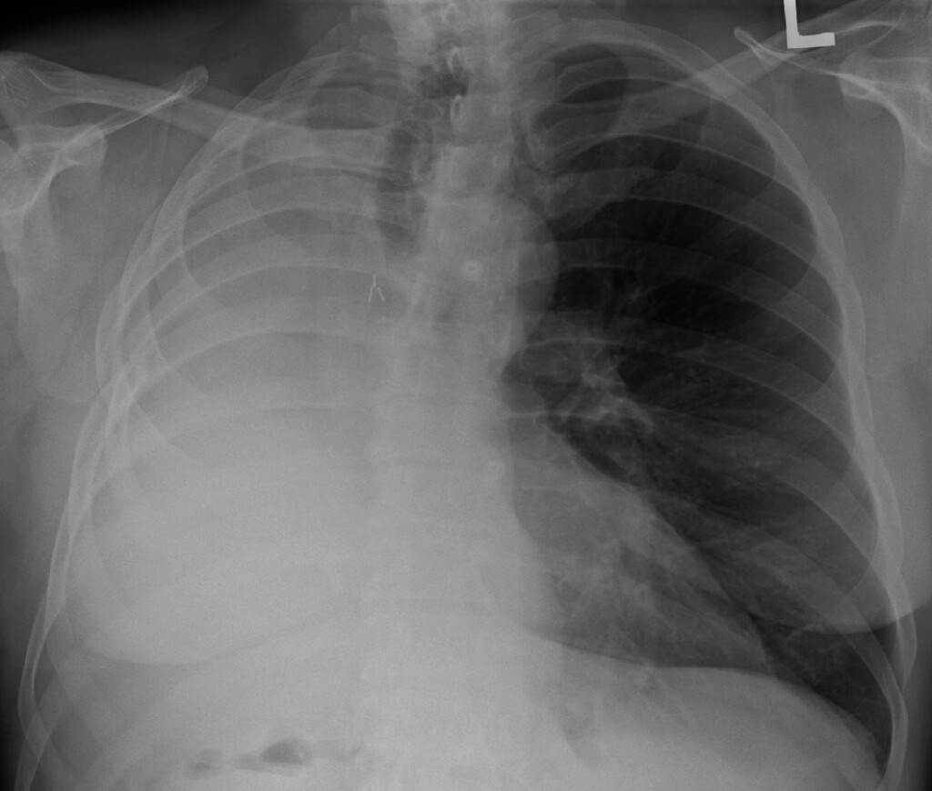
Can You Live One Lung . Can You Live With Only One Lung? What Is Pneumonectomy and Why Should It Be Done? Living with one lung removed is a reality for many people due to various medical conditions or injuries You can live a full life with just one lung, but it does depend on why the lung was removed in the first place
Can You Live With One Lung? from www.icliniq.com
Learning to live with one lung takes time and patience to prevent complications and damage to the existing lung Living with one lung removed is a reality for many people due to various medical conditions or injuries
Can You Live With One Lung? The thought of losing a lung can be daunting, but it's essential to understand how the body adapts and what lifestyle changes might be necessary While most people with two lungs expect people with one lung to be winded all the time, the surprising fact is that the remaining lung expands to replace the space in the chest. Learn what to expect and medical questions to ask your doctor as you navigate life with one lung.
Source: kjpnycvmu.pages.dev Can you live if you have lung cancer ? Find Health Questions YouTube , While most people with two lungs expect people with one lung to be winded all the time, the surprising fact is that the remaining lung expands to replace the space in the chest. Living with one lung removed is a reality for many people due to various medical conditions or injuries
Source: flotionvfn.pages.dev Mayo Clinic Q and A How lung restoration improves organ availability Mayo Clinic News Network , Learning to live with one lung takes time and patience to prevent complications and damage to the existing lung Many people with one lung can live to a normal life expectancy, but patients are unable to perform vigorous activities and may still experience shortness of breath.
Source: tribehutnmq.pages.dev Half Breathing Could You Survive With Just One Lung? , However, it is possible to live with just one lung While a person's ability to exercise will likely decrease, many people have only one lung that can still function relatively normally.
Source: stoffsyjl.pages.dev Can a Person Live with just Half of One Lung? » Scary Symptoms , While most people with two lungs expect people with one lung to be winded all the time, the surprising fact is that the remaining lung expands to replace the space in the chest. Many people with one lung can live to a normal life expectancy, but patients are unable to perform vigorous activities and may still experience shortness of breath.
Source: rawcastnth.pages.dev Can You Survive With One Lung? 5 Effective Lifestyle Changes , Learn what to expect and medical questions to ask your doctor as you navigate life with one lung. Pneumonectomy is the surgical removal of an entire lung, usually performed due to disease such as lung cancer, or injury
Source: gencesslwb.pages.dev Can a person live with one lung? Optum Perks , People with bronchiectasis, a long-term condition where the airways become abnormally widened and accrue excess mucus, may also require the removal of one lung Can you live with one lung? While it is indeed a serious procedure with considerable risks, a pneumonectomy can ultimately prolong a patient's life in many cases, improving their survival rate.
Source: coveraicyn.pages.dev Can You Survive Lung Cancer , Pneumonectomy is the surgical removal of an entire lung, usually performed due to disease such as lung cancer, or injury Many people with one lung can live to a normal life expectancy, but patients are unable to perform vigorous activities and may still experience shortness of breath.
Source: ptsurgvlw.pages.dev St Vincent's Lung Health , In most cases, one healthy lung should be able to deliver enough oxygen and remove enough. Can you live with one lung? While it is indeed a serious procedure with considerable risks, a pneumonectomy can ultimately prolong a patient's life in many cases, improving their survival rate.
Source: nysynodjuw.pages.dev PPT Can you live with one lung Best Lung Cancer Doctor in Bangalore Dr. Murali Subramanian , You can live a full life with just one lung, but it does depend on why the lung was removed in the first place Cancer or other health problems could lead you and your doctor to decide to remove one of your lungs
Source: autarkawmir.pages.dev Can a Person Live with just Half of One Lung? » Scary Symptoms , Many people with one lung can live to a normal life expectancy, but patients are unable to perform vigorous activities and may still experience shortness of breath. You can live a full life with just one lung, but it does depend on why the lung was removed in the first place
Source: jhqzjdmsh.pages.dev How Long Can You Live with a Collapsed Lung? , Cancer or other health problems could lead you and your doctor to decide to remove one of your lungs Lung disease: Pulmonary fibrosis or chronic obstructive pulmonary disease (COPD) can lead to severe damage to one lung
Source: amharangq.pages.dev Can you live with one lung? Survival and outlook , Living with one lung removed is a reality for many people due to various medical conditions or injuries People with bronchiectasis, a long-term condition where the airways become abnormally widened and accrue excess mucus, may also require the removal of one lung
Source: doorpostkhr.pages.dev Human Lungs Anatomy , Pneumonectomy is the surgical removal of an entire lung, usually performed due to disease such as lung cancer, or injury However, it is possible to live with just one lung
Source: infohopegdp.pages.dev Smoker's lungs vs. healthy lungs Facts, pictures, and more , However, it is possible to live with just one lung If it was due to cancer or an illness, there is a risk of the condition returning.
Source: grailvcvbh.pages.dev Can A Baby Born With One Lung Survive Baby Viewer , While most people with two lungs expect people with one lung to be winded all the time, the surprising fact is that the remaining lung expands to replace the space in the chest. This article delves into the intricacies of living with one lung, examining the physiological adjustments, potential health implications, and.
Living With One Lung . However, it is possible to live with just one lung Learn what to expect and medical questions to ask your doctor as you navigate life with one lung.
How Long Can You Live with a Collapsed Lung(Pneumothorax) . While most people with two lungs expect people with one lung to be winded all the time, the surprising fact is that the remaining lung expands to replace the space in the chest. Cancer or other health problems could lead you and your doctor to decide to remove one of your lungs